Your Reclast and dental work images are ready. Reclast and dental work are a topic that is being searched for and liked by netizens now. You can Download the Reclast and dental work files here. Get all royalty-free photos.
If you’re searching for reclast and dental work images information connected with to the reclast and dental work interest, you have come to the right blog. Our site frequently provides you with suggestions for refferencing the maximum quality video and image content, please kindly search and locate more enlightening video content and images that match your interests.
Reclast And Dental Work. Kantenlose Komposit-Füllkörper mit sphärischen Füllstoffen. On the basis of existing. Are pregnant or plan to become pregnant. The answer depends on what kind of procedure youre going to have.
Which Is Better For Osteoporosis Reclast Or Prolia Goodrx From goodrx.com
On the basis of existing. In the case of antiresorptive agentsmedicines that help strengthen bonesthese medications have been associated with a rare but serious condition called osteonecrosis OSS-tee-oh-ne-KRO-sis of the jaw ONJ that. Kantenlose Komposit-Füllkörper mit sphärischen Füllstoffen. Reclast is only part of a complete program of treatment that may also include diet changes and taking calcium and vitamin supplements. A localized clinical approach eg treating a sextant at a time to dentoalveolar surgery in. If you need to have any dental work especially surgery tell the dentist ahead of time that you are using Reclast.
So what happens if youre taking Fosamax or Prolia and you need dental work.
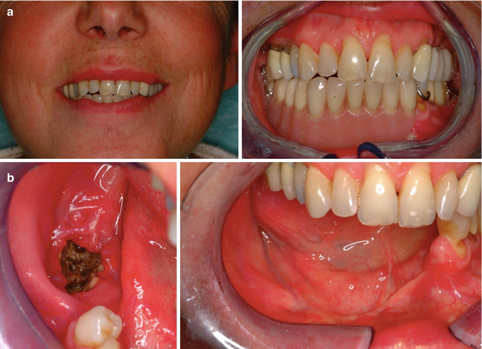
I am 73 years old and do have Osteoporois. Zoledronic Acid Zometa Reclast Print PDF. HI thereI was actually waiting for the other shoe to drop and it kind of did. In the case of antiresorptive agentsmedicines that help strengthen bonesthese medications have been associated with a rare but serious condition called osteonecrosis OSS-tee-oh-ne-KRO-sis of the jaw ONJ that. Dental fistula is found among people who take Reclast especially for people who are female 60 old have been taking the drug for 2 - 5 years. The phase IV clinical study analyzes which people take Reclast and have Dental fistula.
Source: mdpi.com
Dental strategies for osteoporosis drugs. Is a rare side effect however it is important that you know about it and take steps to protect your dental health. Other health conditions are arthritis diabetes and asthma. A recent two-day whirlwind trip to New York City left my head spinning as I sought to comprehend the complex world of prescribing behavior by physicians who write prescriptions for. A localized clinical approach eg treating a sextant at a time to dentoalveolar surgery in.
Source: aae.org
Reclast is only part of a complete program of treatment that may also include diet changes and taking calcium and vitamin supplements. It is not known if Reclast can harm your unborn baby. For routine work like cleanings fillings or crowns no change in your medication is needed. A dentist refers a woman to an oral surgeon because she needs a tooth pulled. I had an infusion with Reclast in August of 2010 and considering it again next month.
Source: pinterest.com
Her response to the medication was very uncomfortable and she never had another treatment done. Are breastfeeding or plan to breastfeed. In the case of antiresorptive agentsmedicines that help strengthen bonesthese medications have been associated with a rare but serious condition called osteonecrosis OSS-tee-oh-ne-KRO-sis of the jaw ONJ that. I had a Reclast infusion a couple of weeks ago with no ill side effects that I am aware of. It is not known if Reclast passes into your milk and may harm your baby.
Source: miamiperio.com
Other health conditions are arthritis diabetes and asthma. Jul 29 2013 65135 AM. Her response to the medication was very uncomfortable and she never had another treatment done. Well Reclast is a bisphosphonate that is used for treatment of Osteoporosis but it has severe side effects on the jaw bones and in case if dental procedures like extraction is done after the infusion it can cause severe side effects like Osteonecrosis. For routine work like cleanings fillings or crowns no change in your medication is needed.
Source: pinterest.com
In the case of ONJ this tissue. So what happens if youre taking Fosamax or Prolia and you need dental work. She also had not taken any other bisphosphonates due to her concern on the side effects. A localized clinical approach eg treating a sextant at a time to dentoalveolar surgery in. I am 73 years old and do have Osteoporois.
Source: drhealthblog.com.au
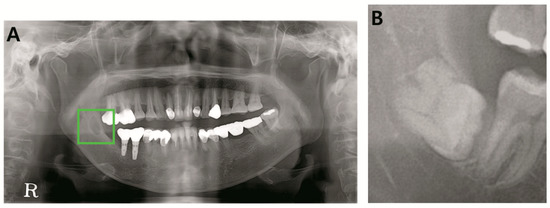
The authors discuss the current evidence regarding the risks of dental procedures in patients receiving IV bisphosphonates for this indication. Zoledronic Acid Zometa Reclast Author. They also evaluate important risk factors and the decision-making pathway in such cases. Last week while eating soft food fish and bread I broke the molar in half. HI thereI was actually waiting for the other shoe to drop and it kind of did.
Source: willowglendentalspecialists.com
Zoledronic Acid Zometa Reclast Author. I am 73 years old and do have Osteoporois. Tell your doctor about all the medicines you take including prescription and non. In the case of antiresorptive agentsmedicines that help strengthen bonesthese medications have been associated with a rare but serious condition called osteonecrosis OSS-tee-oh-ne-KRO-sis of the jaw ONJ that. To continue reading this article you must log in.
Source: miamiperio.com
If you need to have any dental work especially surgery tell the dentist ahead of time that you are using Reclast. I had a Reclast infusion a couple of weeks ago with no ill side effects that I am aware of. I have had several fractures 5 over the past 20 years and am on Calcium wD. Are breastfeeding or plan to breastfeed. Shes taking a common medication to treat her osteoporosis a condition that causes bones to become thin brittle and prone to fracture.
Source: northshorefamilydentalcare.com
In the case of ONJ this tissue. This article will talk about Reclast and how it can potentially affect dental work. I have had some problems with my teeth over the past months and need 2 of my teeth extracted. I had reclast in September. It is created by eHealthMe based on reports of 13785 people who have side effects when taking Reclast from the.
Source: oralsurgeryofutah.com
This article will talk about Reclast and how it can potentially affect dental work. It is not known if Reclast passes into your milk and may harm your baby. Neuartige kantenlose Füllkörper gewährleisten eine stressarme und sichere Aushärtung. My T-score was a little. Well Reclast is a bisphosphonate that is used for treatment of Osteoporosis but it has severe side effects on the jaw bones and in case if dental procedures like extraction is done after the infusion it can cause severe side effects like Osteonecrosis.
Source: in.pinterest.com
A localized clinical approach eg treating a sextant at a time to dentoalveolar surgery in. So what happens if youre taking Fosamax or Prolia and you need dental work. I had an infusion with Reclast in August of 2010 and considering it again next month. But before having a more invasive proceduresuch as tooth extraction implant placement or oral. Her response to the medication was very uncomfortable and she never had another treatment done.
Source: miamiperio.com
Zoledronic Acid Zometa Reclast Author. Have a discussion with patients regarding potential risks and benefits. I had a Reclast infusion a couple of weeks ago with no ill side effects that I am aware of. They also evaluate important risk factors and the decision-making pathway in such cases. Shes taking a common medication to treat her osteoporosis a condition that causes bones to become thin brittle and prone to fracture.
Source: link.springer.com
Are breastfeeding or plan to breastfeed. The maxilla upper jaw bone and mandible lower jaw bone are normally covered by gum tissue. Osteoporosis Drugs and Dental Work. Follow your doctors instructions very closely. Recommendations Based on Expert Opinion.
Source: in.pinterest.com
This article will talk about Reclast and how it can potentially affect dental work. I have a back molar that the oral surgeon wishes to extract as I have a fractured root. My T-score was a little. Have a discussion with patients regarding potential risks and benefits. Reclast is only part of a complete program of treatment that may also include diet changes and taking calcium and vitamin supplements.
Source: pocketdentistry.com
Are breastfeeding or plan to breastfeed. It is not known if Reclast can harm your unborn baby. Had dental check up done before the infusion and had no problem with my teeth. I have had several fractures 5 over the past 20 years and am on Calcium wD. Follow your doctors instructions very closely.
Source: researchgate.net
HI thereI was actually waiting for the other shoe to drop and it kind of did. Shes taking a common medication to treat her osteoporosis a condition that causes bones to become thin brittle and prone to fracture. The maxilla upper jaw bone and mandible lower jaw bone are normally covered by gum tissue. Jun 14 2021 103226 PM. Dental strategies for osteoporosis drugs.
Source: link.springer.com
Thats when I got the information about doing dental work prior to infusion. Plan to have dental surgery or teeth removed. Have a discussion with patients regarding potential risks and benefits. A dentist refers a woman to an oral surgeon because she needs a tooth pulled. I have had several fractures 5 over the past 20 years and am on Calcium wD.
Source: goodrx.com
A 62 old year old female patient had one Reclast treatment zolendronic acid. Other health conditions are arthritis diabetes and asthma. The authors discuss the current evidence regarding the risks of dental procedures in patients receiving IV bisphosphonates for this indication. The study was divided randomly into two. Thats when I got the information about doing dental work prior to infusion.
This site is an open community for users to do submittion their favorite wallpapers on the internet, all images or pictures in this website are for personal wallpaper use only, it is stricly prohibited to use this wallpaper for commercial purposes, if you are the author and find this image is shared without your permission, please kindly raise a DMCA report to Us.
If you find this site serviceableness, please support us by sharing this posts to your preference social media accounts like Facebook, Instagram and so on or you can also bookmark this blog page with the title reclast and dental work by using Ctrl + D for devices a laptop with a Windows operating system or Command + D for laptops with an Apple operating system. If you use a smartphone, you can also use the drawer menu of the browser you are using. Whether it’s a Windows, Mac, iOS or Android operating system, you will still be able to bookmark this website.






